UPLIFT
Radiotherapy (RT) is one of the three main pillars of modern cancer treatment. For decades, RT has been predominantly performed with the patient in supine or prone position. Positioning the patients in upright, sitting or standing, position promises greatly reduced treatment cost, more patient comfort, and even anatomical advantages in the form of reduced motion and greater separation of critical structures. Since upright positioning enables smaller facility footprints for photon therapy, and especially for particle therapy, it is a key to global access to modern treatment options. It therefore comes at no surprise that, with the commercial availability of upright positioning solutions and upright volumetric imaging, upright radiotherapy has enjoyed a surge in interest recently. At the same time, key questions remain in urgent need of solutions, international guidelines for upright positioning are lacking, and clinical workflow is yet tailored to supine or prone positioning. As the first clinics around the world are adopting upright technologies, there is a global need for expert professionals in industry, clinics and research to bring promised advantages from bench to bedside and carry this paradigm shift in how RT patients are treated.
Figure1: Schematic comparison of upright and recumbent patient positioning
GSI leads the MSCA Doctoral Network UPLIFT (www.uplift-project.eu), which spans 19 PhD students 15 supervising partners from 8 European countries, and a total of >5M Euro of funding. Two UPLIFT PhD students are hosted at GSI, working on motion mitigation in upright position (DC 4), and upright ion arc therapy (DC 5).
Figure 2: Uplift consortium
The UPLIFT consortium. For details see www.uplift-project.eu
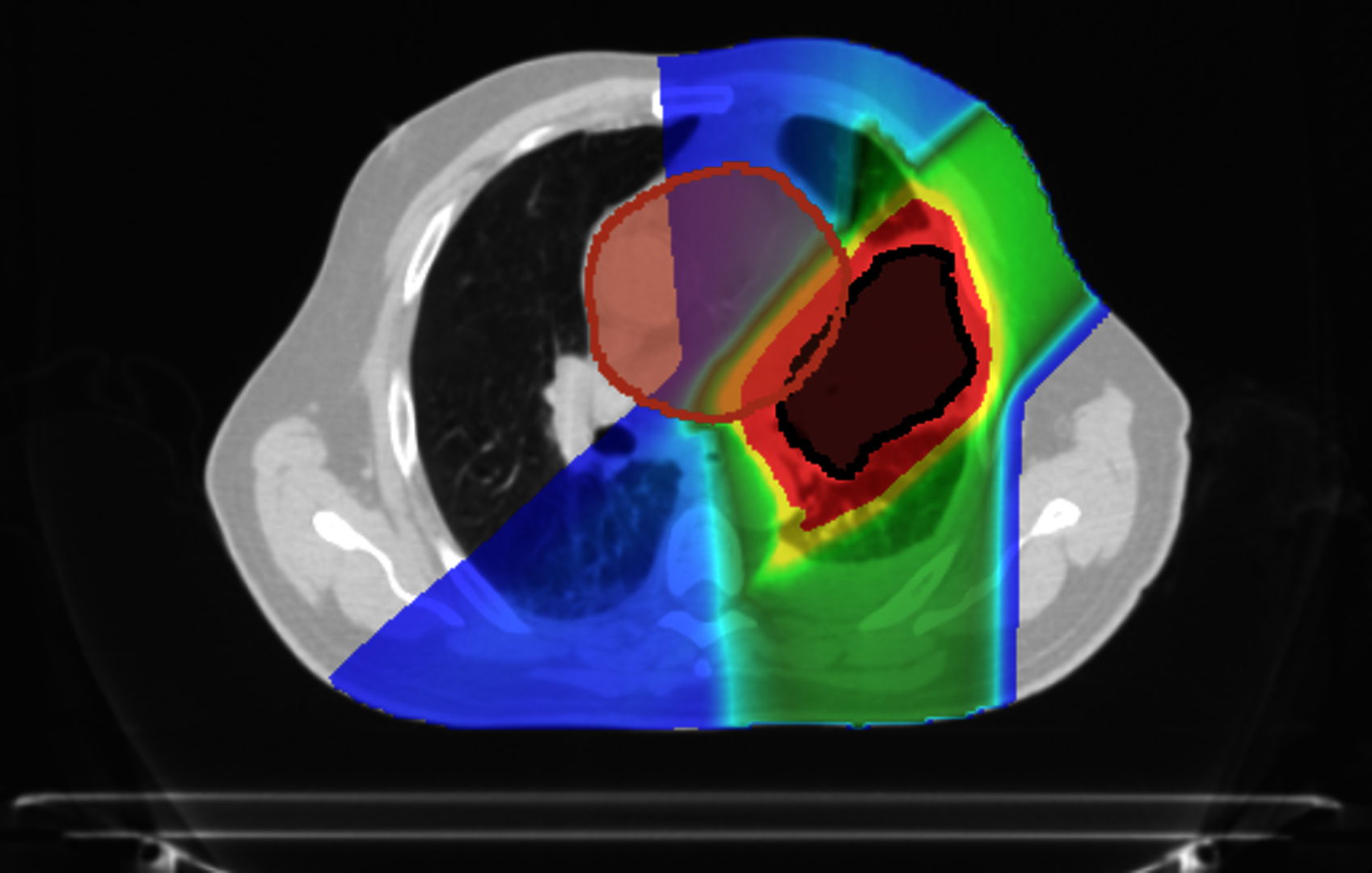
In addition, at GSI, we are leading the investigation of upright carbon ion therapy for lung cancer patients. In a collaboration with Northwestern Medicine Chicago Proton Center, we have conducted an extensive comparison of treatment plans between postures.












